Protection for your teeth as they age
Teeth age over time – it’s only natural. As we get older, our teeth age with us, which is where crowns come in. Think of a crown as a specially designed cover that goes over a weak tooth to protect it in the future, ensuring that any cracks don’t turn into something worse.
Crowns have a variety of uses. Here at East Park Dental in Northampton, we also use crowns to cover badly coloured or shaped teeth, or protect teeth after root canal work.
Dr Chris Young
“A crown can protect a tooth that’s been weakened by fillings over its lifetime. So don’t risk cracks or breaks developing in your teeth – getting a crown will protect the integrity of your tooth structure and help hold it together.”
![]()
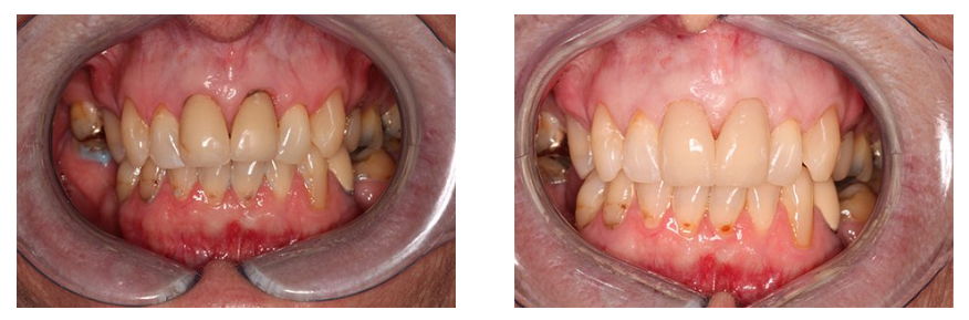
Anita Brown, Northampton
“I visited Chris originally with a front tooth broken very near to the gum area. I was very traumatised and very very upset by it all.
Chris explained all my options clearly and thoroughly with the procedure and guide on prices, we both decided the appropriate option and went ahead booking up the appointments.
Chris was able to give me so much positive advice throughout all the procedures and explain every time I came in what was going to be done and expected results.The final results were amazing! I now have a smile and my confidence has grown 100% – plus I smile in photos now!
I cannot thank Chris enough for his patience and brilliant workmanship.”
“ I now have a smile and my confidence has grown 100% – plus I smile in photos now!”

Lots of things – decay, trauma (like being in a fall or accident), repeated fillings, or even just your normal way of chewing.
You can expect two visits to see us at our dental surgery in Northampton. On your first visit, we’ll prepare your tooth and take an impression of it, then fit a temporary crown to protect your tooth in the meantime. We send the impression off to the dental lab to enable a custom-designed crown to be made. The next time you see us, we’ll fit the new permanent crown and cement it into place.
Alternatively, you might be suitable for one of our CEREC same day crowns, where you can have your new crown made and fitted in a little over two hours. You’ll even have time to read the paper and have a coffee while your new tooth is created.
The best way to fix this problem is to have a new crown made with the edge of the crown just below the gum line so it can’t be seen. We also use advanced modern porcelains that are strong, look very natural and, although the edge of the crown could become visible again over the years, they don’t leave such a prominent black line at the margin as the old style crowns.
East Park Dental, where our patients are at the heart of everything we do. We’re Northampton’s leading dental team, offering the widest range of care – from a simple filling to a completely new smile. Our treatments are backed by advanced dental insights, techniques and technologies to make sure we’re the very best practice at the heart of our community. And it’s all delivered by the friendliest team, with over 100 years experience between us. So go on, smile… you’re in great hands!